قیمت ایمپلنت برای شهروندان تهرانی و غیرتهرانی در سال 1404
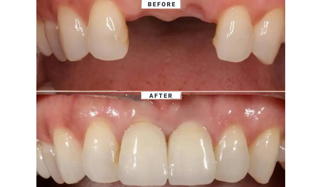
قیمت ایمپلنت برای شهروندان تهرانی و غیرتهرانی —————————————————————— ایمپلنت دندان امروز به یکی از محبوبترین روشهای جایگزینی دندانهای از دست رفته تبدیل شده است. اما یکی از اولین سوالهایی که برای افراد پیش میآید، هزینه واقعی ایمپلنت است. واقعیت این است که قیمت ایمپلنت میتواند بسته به محل سکونت، نوع ایمپلنت و شرایط دهان و […]
قیمت ایمپلنت برای شهروندان تهرانی و غیرتهرانی در سال 1404 بیشتر بخوانید »









